REVISIÓN | Respirar, 2025; 17(3): 334–343 | ISSN 2953-3414 | https://doi.org/10.55720/respirar.17.3.11
María Alejandra Gil-Guerrero
https://orcid.org/0000-0002-9054-281X
Carlos Felipe Aristizábal-López
https://orcid.org/0009-0002-2306-1423
Nicolás Felipe Torres-España
https://orcid.org/0000-0002-8420-5550
Julio César Granada-Camacho
https://orcid.org/0000-0003-2143-2577
Recibido:
18 abril 2025
Aprobado:
30 mayo 2025
Esta revista está bajo una licencia de
Creative Commons Reconocimiento 4.0 Internacional.
A propósito de condiciones infrecuentes: hernias pulmonares
Regarding Rare Conditions: Pulmonary Hernias
María Alejandra Gil-Guerrero1
, Carlos Felipe Aristizábal-López2
, Nicolás Felipe Torres-España3
, Julio César Granada-Camacho4
1. Universidad de Manizales, Manizales, Caldas, Colombia.
2. Universidad Icesi, Cali, Colombia.
3. Universidad El Bosque, Instituto Nacional de Cancerología, Bogotá, Colombia.
4. Clínica Los Nogales, Departamento de Cirugía de Tórax, Bogotá, Colombia.
Autor CORRESPONSAL:
Carlos Felipe Aristizábal López, cafearlo@hotmail.com
Resumen
Introducción: La hernia pulmonar es la protrusión anormal de parénquima pulmonar por un defecto del tórax. Es poco frecuente, se han registrado aproximadamente 300 casos desde su primera descripción. Representa un reto diagnóstico-terapéutico adecuado; su entendimiento permitirá brindar un adecuado enfoque a esta entidad.
Metodología: Se realizó una revisión narrativa de la literatura a través del buscador PubMed de la base de datos Medline, utilizando los términos pulmonary hernia, lung herniation y chestwall hernias. De los resultados obtenidos, se analizaron los resúmenes de los documentos relacionados, se seleccionaron en total 38 referencias, de donde se extrajo la información para este manuscrito.
Resultados: Las hernias pulmonares se clasifican según su localización y etiología, esta última puede ser espontánea, traumática o patológica. Existen diferentes factores de riesgo que predisponen a esta entidad, como defectos anatómicos propios de la pared torácica o patologías que aumenten la presión intratorácica. Como opciones terapéuticas está el manejo expectante con seguimiento y el manejo quirúrgico, que busca la corrección definitiva del defecto herniario a través de diferentes técnicas de sutura o afrontamiento de los tejidos, como también está descrito el uso de materiales como mallas.
Conclusiones: Las hernias pulmonares, a pesar de ser infrecuentes, existen; por ello, los cirujanos de tórax juegan un papel fundamental en la prevención, detección y manejo de esta entidad. La escasa literatura encontrada recomienda el manejo quirúrgico sobre el manejo conservador, incluso en pacientes asintomáticos. Nuestra opinión está acorde con esta afirmación.
Palabras clave: hernia, hernia incisional, herniorrafia, trauma, pared torácica.
Abstract
Introduction: Pulmonary hernia is the abnormal protrusion of lung parenchyma through a defect in the chest wall. It is a rare entity; approximately 300 cases have been reported since its first description. It represents a diagnostic-therapeutic challenge and a correct understanding will allow providing an adequate approach to this entity.
Methodology: A narrative review of the literature was carried out through the PubMed search engine of the Medline database, using the terms pulmonary hernia, lung herniation and chestwall hernias. From the results obtained, the abstracts of the related documents were analyzed and a total of 38 references were selected, from which the information for this manuscript was extracted.
Results: Lung hernias are classified according to their location and etiology; etiology can also be classified as spontaneous, traumatic or pathological. There are different risk factors that predispose patients to this entity, such as anatomical defects of the chest wall or pathologies that increase intrathoracic pressure. Therapeutic options include expectant management with follow-up and surgical management, which seeks a definitive correction of the hernia defect by using different suturing or tissue coping techniques, as well as the use of materials such as meshes.
Conclusions: Pulmonary hernias, despite being rare, do exist, which is why thoracic surgeons play a fundamental role in the prevention, diagnostics and management of this entity. The limited literature found recommends surgical management over conservative management, even in asymptomatic patients, and in our opinion, we agree with this statement.
Keywords: hernia, incisional hernia, herniorrhaphy, trauma, thoracic wall.
La hernia pulmonar es la protusión anormal del parénquima pulmonar a través de un defecto de la pared del tórax.1 Se clasifica según su localización y etiología.3 Es una entidad rara, con pocos reportes de caso registrados en la literatura.9 Su epidemiología todavía no es clara y puede llegar a ser una carga importante de morbilidad.8 El objetivo de este artículo fue hacer una revisión narrativa de la literatura a través del buscador PubMed de la base de datos MedLine, para entender mejor esta manifestación, de tal forma que se pueda permitir brindar un adecuado enfoque a esta entidad. De los resultados obtenidos, se analizaron los resúmenes de los documentos relacionados y se seleccionaron en total 38 referencias, de donde se extrajo la información para responder una serie de preguntas en este manuscrito.
Definición
Hernia pulmonar o neumocele es aquella protrusión anormal del parénquima pulmonar por algún defecto de la pared del tórax.1 Contiene tejido pulmonar, también puede incluir contenido abdominal en casos donde haya un componente transdiafragmático o toracoabdominal.2
Etiología y clasificación
En 1945, Morel-Lavallée clasificó las hernias pulmonares según su localización o etiología.3 La localización puede ser cervical, torácica o diafragmática. Las cervicales se encuentran en el 35% de los casos,4 donde la protrusión de una porción del pulmón se da entre el músculo escaleno anterior y el esternocleidomastoideo, secundario a la debilidad de la fascia de Sibson, conocida como membrana suprapleural. Las torácicas son las más comunes, entre el 60% y el 80%, secundario a la protrusión del parénquima pulmonar a través de un área de debilidad en la pared torácica entre las costillas. En la mayoría de los casos, son secundarias a trauma y pueden presentar una protrusión pulmonar de forma inmediata o tiempo después del evento. Las diafragmáticas son poco comunes,5 en estas, habitualmente el contenido pasa del abdomen al tórax por gradiente de presiones.
Según su etiología, las hernias pulmonares son adquiridas (80%) o congénitas (20%). Entre las adquiridas, el origen traumático es el más frecuente (52%), seguido de las espontáneas (30%) y las patológicas (18%).6 Las hernias pulmonares patológicas son secundarias a tumores, abscesos o tuberculosis.7 (Figura 1).
Figura 1.
Clasificación de las hernias pulmonares según su etiología y su porcentaje de presentación.
Prevalencia de las hernias pulmoanares adquiridas

Fuente: Tack D, Wattiez A, Schtickzelle JC, Delcour C. Spontaneous lung herniation after a single cough. Eur Radiol 2000;10(3):500–2. http://dx.doi.org/10.1007/s003300050084
Hernias pulmonares traumáticas
El trauma es la causa de hernias pulmonares adquiridas más frecuente. Sin embargo, continúa siendo una entidad poco frecuente en general, con pocos reportes en la literatura, por lo que su incidencia y prevalencia exacta todavía es desconocida.8 Se han registrado aproximadamente 300 casos desde su primera descripción en 1499.9
Se necesitan condiciones específicas para desarrollar una hernia pulmonar, empezando por un defecto anatómico de la pared del tórax; el defecto puede ser directamente ocasionado por la etiología del trauma, como en el trauma penetrante que genera una pérdida de la continuidad de las estructuras de la pared torácica. En el trauma contuso, la anatomía de la reja costal se ve alterada de manera secundaria, como se puede observar en las fracturas costales, que usualmente se acompañan de desgarros de los músculos intercostales.10 Existe una asociación importante en el trauma cerrado, donde a mayor edad, mayor puntaje en Injury Severity Score (ISS), y la presencia de tórax inestable son factores de riesgo muy significativos para el posterior desarrollo de hernias pulmonares.11
El principal factor de riesgo para presentar hernias pulmonares en trauma es la misma cinemática del trauma. Existen otros factores de riesgo intrínsecos del paciente que pueden aumentar la posibilidad de desarrollar una hernia pulmonar; por ejemplo, el sexo masculino es una variable independiente que presenta más trauma torácico frente al sexo femenino.12 Los traumatismos cerrados parecen ser la causa de la mayoría de las hernias pulmonares según los informes de casos. Ciertas afecciones preexistentes, incluida la debilidad o atrofia de la pared torácica y los síndromes de hiperinsuflación, pueden aumentar la probabilidad de hernia pulmonar traumática o espontánea. Las hernias pulmonares traumáticas pueden aparecer inmediatamente después de la lesión o incluso pueden demorarse años en instaurarse por completo.13
Para el desarrollo de la hernia pulmonar se requiere que la presión intratorácica aumente de manera precipitada y/o progresiva. Los factores que predisponen la debilidad de la pared torácica son la obesidad por el aumento de la presión intratorácica, enfermedades pulmonares como la enfermedad pulmonar obstructiva crónica (EPOC), uso de esteroides y diabetes.10 Una de las causas más relacionadas a las hernias pulmonares adquiridas de origen traumático es la cirugía torácica previa.2
Aunque se estima que las hernias pulmonares traumáticas son una causa importante de morbilidad y mortalidad, no está descrita en la literatura una incidencia estimada. La principal causa de morbilidad se debe al infarto pulmonar secundario al estrangulamiento del parénquima. La mortalidad es una causa netamente ligada al trauma de tórax y a las consecuencias del aumento progresivo y marcado de la presión intratorácica, no a la hernia pulmonar como tal.14
Hernias pulmonares espontáneas
La hernia pulmonar adquirida espontánea es una patología poco frecuente. Brock reportó 16 casos de hernias pulmonares desde 1968, la edad de los pacientes osciló entre 19 y 76 años, con una media de 58 años. Todos eran varones y las hernias se presentaron por igual frecuencia en los lados derecho e izquierdo. La mitad de los pacientes tenían antecedente de tabaquismo.15
Las hernias pulmonares espontáneas son causadas por una debilidad en la pared torácica y un aumento de la presión intratorácica, secundario a un episodio de tos intensa, estornudo, soplar un instrumento musical, soplar vidrio o levantar objetos pesados. Usualmente son intercostales y se ubican por delante de la unión condrocostal, entre la 7.ª y la 11.ª costilla.16,17
La etiología de la hernia pulmonar intercostal puede explicarse gracias a la anatomía de los espacios intercostales; los músculos intercostales interno y externo que revisten el espacio intercostal son algo más cortos que las costillas, de forma que los extremos de los espacios están recubiertos por uno solo de los músculos y por la aponeurosis del otro. Los espacios intercostales presentan perforaciones (anterior, lateral y posterior) por donde atraviesan vasos y nervios de la pared torácica, estos lugares constituyen los puntos más vulnerables al aumento de la presión intratorácica.18
Hernias pulmonares iatrogénicas
La hernia pulmonar iatrogénica ocurre posterior a intervenciones torácicas menos invasivas como: la toracostomía cerrada, mini-toracotomía, videotoracoscopia asistida (VATS), resecciones asistidas por robot, en comparación al abordaje abierto.19,20 Debido a un menor cuidado en el cierre de la incisión en comparación con las toracotomías.21,22
Existen reportes de casos de hernias pulmonares secundarias a procedimientos mínimamente invasivos en cirugía cardiovascular como by–pass coronario y en reemplazos de la válvula mitral. Un paciente desarrolló una hernia pulmonar por uno de los puertos del brazo robótico que medía 8 mm, mientras que otro paciente presentó la hernia por el sitio de incisión de la minitoracotomía, ambos pacientes tenían factores de riesgo para desarrollar hernias pulmonares.20
En un reporte de un centro especializado en realizar resecciones de timomas o timectomías asistidas por robot, reportaron sus desenlaces después de 8 años de experiencia; encontraron que de 138 resecciones de tumores mediastinales, solo un paciente presentó hernia pulmonar secundaria al procedimiento.23
Manifestaciones clínicas
Clínicamente, pueden ser asintomáticas. La presentación clínica clásica se caracteriza por dolor en la pared torácica después de toser o estornudar, además, el paciente podría evidenciar la protrusión de una masa en un espacio intercostal, la cual aumenta de tamaño durante las maniobras de valsalva.16 Esta protrusión puede cambiar con los movimientos respiratorios, asociarse a dolor y equimosis en la zona afectada.24 También puede estar acompañada de crepitación y suele ser reductible. El diagnóstico temprano es complejo ya que el dolor de la hernia pulmonar puede simular el de la neuritis o neuralgia intercostal.5 La revisión de Brock reportó 16 casos observando un abultamiento en el 100% de los pacientes, dolor en el 87% y equimosis en el 44%.15
Ayudas diagnósticas
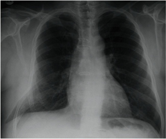
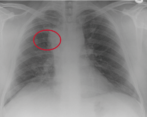
El diagnóstico es clínico y se confirma mediante exámenes complementarios. En la radiografía de tórax, se pueden encontrar hallazgos sugestivos como la protrusión del parénquima pulmonar entre los espacios intercostales que se encuentran aumentados y se visualiza un abombamiento radiolúcido entre las costillas que se sobrepone a los tejidos blandos;25 descrito como visualizar el límite del pulmón más allá de la reja costal («lung beyond the rib» sign). En cambio, cuando la hernia se visualiza frontalmente, puede detectarse un área focal hiperlucente («lucent lung» sign). Las radiografías realizadas en maniobra de Valsalva o espiración pueden aumentar el tamaño de la hernia.27 (Figuras 2-5).
Figura 2.
Signos radiológicos de la hernia pulmonar. “Lung beyond the ribs” sign.

Tomado de: Zia Z, Bashir O, Ramjas GE, Kumaran M, Pollock JG, Pointon K. Intercostal lung hernia: radiographic and MDCT findings. Clin Radiol 2013;68(7):e412-7. http://dx.doi.org/10.1016/j.crad.2012.11.024
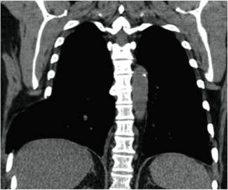
Figura 3.
Hallazgo tomográfico de la hernia pulmonar.

Tomado de: Zia Z, Bashir O, Ramjas GE, Kumaran M, Pollock JG, Pointon K. Intercostal lung hernia: radiographic and MDCT findings. Clin Radiol 2013;68(7):e412-7. http://dx.doi.org/10.1016/j.crad.2012.11.024
La tomografía es la imagen de elección, permite evidenciar la protrusión del pulmón a través de la pared torácica y la adecuada caracterización del contenido herniario, evalúa su tamaño y localización precisa. No existen estudios que evalúen su sensibilidad y especificidad. La administración de contraste intravenoso permite visualizar la vascularización del pulmón herniado para excluir o confirmar la estrangulación del parénquima.27 El estudio con espiración o durante maniobra de valsalva puede demostrar hernias pulmonares aparentemente ocultas y posibles complicaciones asociadas.28,29
Figura 4.
Signos radiológicos de la hernia pulmonar. La radiografía muestra una lesión mediastinal en el ángulo traqueobronquial derecho. “Lucent lung” sing.

Editado de: Zia Z, Bashir O, Ramjas GE, Kumaran M, Pollock JG, Pointon K. Intercostal lung hernia: radiographic and MDCT findings. Clin Radiol 2013;68(7):e412-7. http://dx.doi.org/10.1016/j.crad.2012.11.024
Figura 5.
Signos radiológicos de la hernia pulmonar. Protrusión del parénquima pulmonar entre los espacios intercostales. Abombamiento radiolúcido entre las costillas que se sobrepone a los tejidos blandos.

Tomado de: Rehman T. Pulmonary hernia. Am J Med Sci 2013;345(1):61. http://dx.doi.org/10.1097/MAJ.0b013e3182454ba9
La ecografía también puede ser una herramienta útil, principalmente al no contar con otras ayudas diagnósticas como la tomografía.28 El uso de la evaluación focalizada extendida con ecografía en traumatismos de manera rutinaria como parte de la evaluación primaria en el trauma cerrado puede acelerar el diagnóstico de la hernia pulmonar traumática, y agilizar así las posibles intervenciones. Su sensibilidad es comparable a la de la tomografía y tiene la ventaja de estar disponible de inmediato, ser portátil, puede utilizarse fácilmente en pacientes inestables y no emite radiación. La interfaz aire-tejido superficial a las costillas y al espacio intercostal se describe clásicamente como líneas E, y es indicativo de enfisema subcutáneo. Las líneas E se describen típicamente como estáticas, aunque es común cierto movimiento de aire en los planos fasciales entre los músculos respiratorios que se contraen y relajan.13 También se describen como un “orificio pleural” o una interrupción abrupta de la línea pleural en el espacio costal donde se produce la hernia y tejido hipoecoico que sobresale a través del espacio costal afectado, presumiblemente parénquima pulmonar. Es plausible que una hernia encarcelada o estrangulada pueda tener una mayor densidad de líneas B en comparación con el tejido pulmonar estrangulado como fue evidenciado en el estudio de Gordon et al.30
Diagnósticos diferenciales
Entre los diagnósticos diferenciales de una protrusión palpable y dolorosa en la pared torácica se incluyen: enfisema subcutáneo, fístula broncopleural, lipoma de la pared torácica, absceso, metástasis cutánea, seroma tardío o ruptura del tendón del pectoral mayor, especialmente posterior a un episodio de trauma de la pared torácica.27
Manejo
Tradicionalmente, se sugirió el tratamiento conservador que consistía en observación o en el uso de vendajes inmovilizadores de la zona en pacientes asintomáticos y con defectos pequeños de la pared torácica; pues el defecto parietal puede cerrarse de manera espontánea en algunos casos.24 Sin embargo, se recomienda el tratamiento quirúrgico si el manejo conservador falla, si hay dolor intenso, si el tamaño de la hernia pulmonar es muy grande o si presentan complicaciones como hemoptisis, incarceración, dificultad para la reducción, infecciones recurrentes o deterioro del patrón respiratorio. Las complicaciones de una hernia pulmonar no tratada incluyen: isquemia pulmonar, neumonía, neumonitis y cicatrización pleural.31 Algunos autores recomiendan la reparación quirúrgica en pacientes asintomáticos.32 Nosotros consideramos que todos los pacientes con hernias pulmonares deben ser tratados de manera quirúrgica, especialmente las hernias que son asociadas a incisiones en el tórax; todo en función de disminuir la morbilidad a largo plazo, evitar el crecimiento progresivo del defecto, restablecer la adecuada función de la pared torácica y mejorar el aspecto estético de la caja torácica.
Las técnicas quirúrgicas empleadas incluyen el cierre primario con sutura no reabsorbible o la hernioplastia con material sintético, siendo poco común la recidiva en estos pacientes cuando se emplean mallas, por lo que esta técnica está recomendada tanto para hernias primarias como para recidivas.16 Otros autores han clasificado las diferentes técnicas de reparación quirúrgica de la hernia pulmonar en tres grupos: cierre primario del defecto, reparación con colgajos periósticos y el uso de materiales sintéticos.33
De Vries et al. usaron diferentes técnicas para la corrección de las hernias pulmonares postraumáticas, todas con resultados exitosos. En primer lugar, el cierre primario con VATS reduciendo el pulmón herniado, aproximando y suturando el defecto.33 También recomendaron la reparación con fascia muscular y, en defectos más grandes, el uso de malla. La técnica de reparación con colgajos fue descrita por primera vez en 1933 y fue evaluada en cuatro casos de hernia pulmonar traumática; el procedimiento se realizó cerrando la pleura con sutura, aproximando los colgajos superior e inferior y uniendo el espacio entre las costillas. Para una mayor aproximación, las costillas inferiores se aproximaron con suturas absorbibles o alambres de acero inoxidable (puntos pericostales).33
La mayoría de los estudios recomiendan el uso de materiales sintéticos para la reparación quirúrgica de la hernia pulmonar con VATS.33,34 Se sugiere el cierre primario y los colgajos periósticos para la reparación de defectos pequeños, y los materiales sintéticos se prefieren para defectos más grandes. La literatura afirma que el uso de la malla es un método seguro y exitoso para la reparación de hernias pulmonares.33
Además del tratamiento quirúrgico, se han dado recomendaciones universales incluyendo: pérdida de peso, ejercicio físico, control de enfermedades crónicas, prevención de exacerbaciones de patologías respiratorias crónicas y el cese del hábito tabáquico.18
El tratamiento incluye los siguientes pasos: identificación de la hernia, liberación de todas las adherencias, reducción del tejido pulmonar hacia la cavidad torácica y reparación del defecto de la pared torácica.33,34 Batıhan et al. comentaron el uso de poliglactina para la aproximación de las costillas, además de un parche de politetrafluoroetileno expandido intratorácico (en 2 casos) y una malla del mismo material (en 1 caso). También comentaron el uso de tejido autólogo para la reparación.22 Munnell recomendó para el cierre del defecto el uso de tejidos autólogos.35 Los materiales sintéticos, como poliéster, alcohol polivinílico, politetrafluoroetileno o combinaciones de estos se consideraron en los casos donde los tejidos locales no estuvieran disponibles o fueran de mala calidad. El material sintético actúa como una estructura sobre la que crece una capa firme de tejido conectivo, que permite una reconstrucción satisfactoria de la pared torácica. Los mismos autores utilizaron un parche de malla de polipropileno que se cubrió con tejido muscular, el paciente tuvo una evolución satisfactoria en el control a los 17 meses. May et al. compartieron un caso de hernia pulmonar anterior traumática donde la reparación fue realizada con alambres de acero inoxidable tamaño 4 y se aproximaron los músculos.36 Goverde et al. afirmaron que la fijación pericostal de las costillas adyacentes es suficiente para cerrar el defecto, realizaron esta técnica en cuatro pacientes con diagnóstico de hernia pulmonar intercostal con excelentes resultados y sin recidivas. En casos de defectos más grandes, recomendaron el uso de periostio y músculos de la fascia lata. También aceptaron como alternativa el uso de los materiales sintéticos como la malla de polipropileno o el parche de politetrafluoroetileno.37
Seder et al. realizaron un estudio desde el servicio de cirugía torácica de la Clínica Mayo entre 1992 y 2011; encontraron 27 casos de hernia de la pared torácica, la mayoría de los pacientes presentaron hernia al lado derecho, en el quinto espacio intercostal y de naturaleza crónica con una duración media de 6 meses.2 La etiología más frecuente fue iatrogénica en 21 pacientes, espontánea en 5 pacientes y sólo un caso de hernia traumática. En cuanto a la sintomatología, el 85% de los pacientes presentaron dolor. Se realizó reparación primaria en 18 pacientes y reparación con malla en 9 pacientes. La mediana de la estancia hospitalaria fue de 4 días y sin diferencia entre la reparación primaria versus el uso de material sintético. Hubo complicaciones postoperatorias en el 42% de los pacientes en los que se realizó reparación primaria y 22% en los pacientes en los que se usó la reparación con malla. Las complicaciones se presentaron en un paciente hematoma que no requirió tratamiento y en dos pacientes seroma, uno se drenó percutáneamente y el otro requirió manejo quirúrgico.2
Prevención
La prevención es la mejor estrategia para evitar una hernia pulmonar. Por ello, Batıhan et al. sugirieron las siguientes medidas:22
Es importante limitar la actividad física del paciente durante el proceso de cicatrización de la pared torácica, independientemente del tamaño de la incisión.38
Conclusiones
La hernia pulmonar, en cualquiera de sus etiologías, continúa siendo una patología rara, con pocos casos reportados en la literatura, por lo que un diagnóstico adecuado y oportuno puede pasar fácilmente por alto. El síntoma cardinal de la hernia pulmonar espontánea es el dolor, súbito o no, localizado en la reja costal. En caso de ser súbito, suele ser posterior a una maniobra de valsalva (toser o estornudar). Para lograr el diagnóstico, se deben tener en cuenta factores de riesgo importantes como patologías que afecten la integridad de la pared torácica o que generen aumentos exagerados de la presión intratorácica, como lo puede ser el EPOC, obesidad, uso de esteroides, trauma o antecedente quirúrgico en el tórax (bien sea por abordaje abierto o mínimamente invasivo).
Aproximadamente, el 80% de las hernias pulmonares son adquiridas. Por lo general, se relacionan estrechamente al traumatismo del tórax, tanto accidental como iatrogénico. Ante la alta sospecha clínica y los hallazgos al examen físico, la radiografía de tórax es una buena ayuda imagenológica inicial. Sin embargo, se recomienda caracterizar adecuadamente el defecto herniario con una tomografía de tórax contrastada para lograr evaluar la viabilidad del parénquima pulmonar en caso de que este esté estrangulado.
Los cirujanos de tórax juegan un papel fundamental en la prevención, detección y manejo de las hernias pulmonares. La escasa información encontrada en la literatura recomienda el manejo quirúrgico sobre el manejo conservador, incluso en pacientes asintomáticos, y nuestra opinión está acorde con esta afirmación.
Cumplimiento de normas éticas: este estudio se acoge a la normativa nacional que regula la investigación clínica en Colombia según las resoluciones no. 8430 de 1993 y la 2378 de 2008, y a los acuerdos internacionales de ética de investigación en humanos (declaración Helsinki). Este estudio es una revisión de la literatura, que se considera de mínimo riesgo de compromiso ético, no tiene intervención a individuos ni requiere consentimiento informado. En la elaboración de este manuscrito no se realizó ningún tipo de uso de tecnologías asistidas por inteligencia artificial.
Financiamiento: los autores declaran que el trabajo no tuvo financiamiento.
Conflictos de interés: los autores declaran que no tienen conflictos de intereses relacionados con el tema de esta publicación.
Contribuciones de los autores: MAGG: concepción y diseño del estudio, adquisición de datos y redacción del manuscrito, creación de gráficas y tablas. CFAL: concepción y diseño del estudio, adquisición de datos y redacción del manuscrito. NFTE: concepción y diseño del estudio, adquisición de datos y redacción del manuscrito, análisis del documento y revisión crítica. JCGC: concepción y diseño del estudio, análisis del documento y revisión crítica.
Los Editores en Jefe, Dres. Carlos Luna y Francisco Arancibia, realizaron el seguimiento del proceso de revisión y aprobaron este artículo.
Referencias
1. Scelfo C, Longo C, Aiello M, Bertorelli G, Crisafulli E, Chetta A. Pulmonary hernia: Case report and review of the literature: Pulmonary hernia. Respirol Case Rep 2018;6(8):e00354. Doi: 10.1002/rcr2.354
2. Seder CW, Allen MS, Nichols FC et al. Primary and prosthetic repair of acquired chest wall hernias: a 20-year experience. Ann Thorac Surg 2014;98(2):484–9. Doi: 10.1016/j.athoracsur.2014.03.021
3. Morel-Lavallée A. Hernie du poumon. Bull Mem Soc Chir Paris 1847;1:75e95.
4. Gómez PE, Ferreiro S, Esteban SM, Fodor R, Palavecino ME, Rios FG. Spontaneous pulmonary hernia: a case report. Respir Care 2013;58(10):e119-22. Doi: 10.4187/respcare.02125
5. Cherraqi A, El Houssni J, Outznit M et al. Incidental discovery of intercostal pulmonary hernia: A case report. Radiol Case Rep 2022;17(12):4510–4. Doi: 10.1016/j.radcr.2022.08.068
6. Tack D, Wattiez A, Schtickzelle JC, Delcour C. Spontaneous lung herniation after a single cough. Eur Radiol 2000;10(3):500–2. Doi: 10.1007/s003300050084
7. Weissberg D. Lung hernia - a review. Adv Clin Exp Med 2013;22(5):611–3.
8. Chiang TY, Yin MF, Yang SM, Chen KC. Thoracoscopic management of incarcerated lung herniation after blunt chest trauma: a case report and literature review. J Thorac Dis 2017;9(3):E253–7. Doi: 10.21037/jtd.2017.03.41
9. LaBan MM. An intercostal muscular hernia as a consequence of intercostal nerve root compromise after trauma to the thoracic spine. Am J Phys Med Rehabil 2017;96(4):e68–9. Doi: 10.1097/phm.0000000000000589
10. Dahlkemper CL, Greissinger WP. Spontaneous lung herniation after forceful coughing. Am J Emerg Med 2020;38(4):851.e5-851.e6. Doi: 10.1016/j.ajem.2019.11.025
11. Seok J, Yoon SY, Lee JY, Kim S, Cho H, Kang WS. Novel nomogram for predicting pulmonary complications in patients with blunt chest trauma with rib fractures: a retrospective cohort study. Sci Rep 2023;13(1):9448. Doi: 10.1038/s41598-023-36679-z
12. Zhang S, Tang M, Ma J et al. Thoracic trauma: a descriptive review of 4168 consecutive cases in East China. Medicine (Baltimore) 2019;98(14):e14993. Doi: 10.1097/MD.0000000000014993
13. Marlow S, Campbell T, Davis A, Patel HR. Emergency ultrasound in the diagnosis of traumatic extrathoracic lung herniation. Am J Emerg Med 2013;31(3):633.e1-2. Doi: 10.1016/j.ajem.2012.09.030
14. Klancir T, Nesek Adam V, Berić S, Matolić M, Grizelj Stojčić E, Smiljanić A. Blunt trauma intercostal lung herniation and delayed extra pleural hematoma. Acta Clin Croat 2022;61(Suppl 1):84–7. Doi: 10.20471/acc.2022.61.s1.14
15. Brock MV, Heitmiller RF. Spontaneous anterior thoracic lung hernias. J Thorac Cardiovasc Surg 2000;119(5):1046–7. Doi: 10.1016/S0022-5223(00)70103-6
16. González-Triana L de la C, Brito-Vázquez M, Álvarez-González LB. Hernia pulmonar intercostal espontánea. Informe de caso y revisión de la literatura. Rev Méd Electrón 2022;44(1):1-9.
17. Lakshminarayana UB, Cowen M, Kastelik JA, Morjaria JB. Intermittent swelling in the chest; a case of spontaneous intermittent lung herniation. BMJ Case Rep 2013;2013;1:bcr2013201380. Doi: 10.1136/bcr-2013-201380
18. Pedraza B, Bizjak G, Linacre V. Hernia pulmonar espontánea: reporte de caso. Rev Cir 2023;75(6). Doi: 10.35687/s2452-454920230061739
19. Ishida A, Oki M, Saka H, Seki Y. Postoperative intercostal lung hernia. Respirol Case Rep 2018;6(5):e00323. Doi: 10.1002/rcr2.323
20. Bhamidipati CM, Iyalla KI, Seymour KA, Lutz CJ. Lung hernia following robotic-assisted mitral valve repair. J Card Surg 2012;27(4):460–3. Doi: 10.1111/j.1540-8191.2012.01463.x
21. Gonçalves JP, Costa R, Paiva A, Fernandes P, Pinto C. Repair of a pulmonary hernia after thoracotomy with an intrapleural mesh: A case report. Port J Card Thorac Vasc Surg 2023;30(1):57–9. Doi: 10.48729/pjctvs.318
22. Batıhan G, Yaldız D, Ceylan KC. A rare complication of video-assisted thoracoscopic surgery: lung herniation retrospective case series of three patients and review of the literature. Wideochir Inne Tech Malo Inwazyjne 2020;15(1):215–9. Doi: 10.5114/wiitm.2019.87937
23. Keijzers M, Dingemans A-MC, Blaauwgeers H et al. 8 years’ experience with robotic thymectomy for thymomas. Surg Endosc 2014;28(4):1202–8. Doi: 10.1007/s00464-013-3309-5
24. García-Díaz D, Domínguez-Soto A, Cerrón-Rivera C. Hernia Pulmonar Derecha: reporte de caso. Rev Hisp Cienc Salud 2019;5(2):80–3.
25. Zia Z, Bashir O, Ramjas GE, Kumaran M, Pollock JG, Pointon K. Intercostal lung hernia: radiographic and MDCT findings. Clin Radiol 2013;68(7):e412-7. Doi: 10.1016/j.crad.2012.11.024
26. Expert Panel on Gastrointestinal Imaging; García EM, Pietryga JA, Kim DH et al. ACR appropriateness criteria® hernia. J Am Coll Radiol 2022;19(11S):S329–40. Doi: 10.1016/j.jacr.2022.09.016
27. Detorakis EE, Androulidakis E. Intercostal lung herniation--the role of imaging. J Radiol Case Rep 2014;8(4):16–24.Doi: 10.3941/jrcr.v8i4.1606
28. Varona Porres D, Pallisa E, Sánchez AL, Persiva O. Utilidad de la ecografía torácica en el diagnóstico de las hernias pulmonares intercostales. Arch Bronconeumol 2019;55(4):225–6. Doi: 10.1016/j.arbres.2018.06.020
29. Chaturvedi A, Rajiah P, Croake A, Saboo S, Chaturvedi A. Imaging of thoracic hernias: types and complications. Insights Imaging 2018;9(6):989–1005. Doi: 10.1007/s13244-018-0670-x
30. Gordon R, Karfunkle B, Smith H, Larimore K, Turgiss K, Najeemuddin S. B-lines beyond the thoracic cavity - ultrasound identification of intercostal pulmonary hernia. J Clin Ultrasound 2022;50(1):101–5. Doi: 10.1002/jcu.23035
31. Cox M, Thota D, Trevino R. Spontaneous lung herniation through the chest wall. Mil Med 2018;183(3–4):e233–4. Doi: 10.1093/milmed/usx063
32. Rehman T. Pulmonary hernia. Am J Med Sci 2013;345(1):61. Doi: 10.1097/MAJ.0b013e3182454ba9
33. De Vries SEN, Arts MP, Van Huijstee PJ. Intercostal lung herniation; a rare complication after mini-transthoracic approach (TTA) for thoracic disc herniation. Two case reports and review of literature. Eur Spine J 2022;31(12):3708–12. Doi: 10.1007/s00586-021-07023-8
34. Weissberg D, Refaely Y. Hernia of the lung. Ann Thorac Surg 2002;74(6):1963–6. Doi: 10.1016/s0003-4975(02)04077-8
35. Munnell ER. Herniation of the lung. Ann Thorac Surg 1968;5(3):204–12. Doi: 10.1016/s0003-4975(10)66333-3
36. May AK, Chan B, Daniel TM, Young JS. Anterior lung herniation: another aspect of the seatbelt syndrome. J Trauma 1995;38(4):587–9. Doi: 10.1097/00005373-199504000-00021
37. Goverde P, Van Schil P, Van den Brande F, Vanmaele R. Chronic herniation of the lung in a patient with chronic obstructive pulmonary disease. Case report and review of the literature. Thorac Cardiovasc Surg 1998;46(3):164–6. Doi: 10.1055/s-2007-1010219
38. Santini M, Fiorello A, Vicidomini G, Busiello L. Pulmonary hernia secondary to limited access for mitral valve surgery and repaired by video thoracoscopic surgery. Interact Cardiovasc Thorac Surg 2009;8(1):111–3. Doi: 10.1510/icvts.2008.190744