ARTÍCULO ORIGINAL | Respirar, 2025; 17(3): 273-285 | ISSN 2953-3414 | https://doi.org/10.55720/respirar.17.3.5
Guillermo Zaldívar Aparicio https://orcid.org/0000-0002-6431-9518
Cecilia Varela Martínez
https://orcid.org/0000-0002-1410-8827
Suyapa Sosa Ferrari
https://orcid.org/0000-0002-7308-4167
Recibido:
19 enero 2025
Aprobado:
27 mayo 2025
Esta revista está bajo una licencia de
Creative Commons Reconocimiento 4.0 Internacional.
Antracosis broncopulmonar: perfil clínico, microbiológico, radiológico y funcional en pacientes de un hospital de referencia en Honduras
Clinical-Epidemiological Characterization, Radiological, Functional, Bronchoscopic, Cytological and Microbiological Findings of Patients with Bronchopulmonary Anthracosis, Honduras
Guillermo Zaldívar Aparicio1
, Cecilia Varela Martínez2
, Suyapa Sosa Ferrari1
1. Instituto Nacional Cardiopulmonar, Servicio de Neumología, Tegucigalpa, Honduras
2. Universidad Nacional Autónoma de Honduras, Servicios de Medicina Interna y Neumología, Tegucigalpa, Honduras
Autor CORRESPONSAL:
Guillermo Zaldívar Aparicio, guille_0402@hotmail.com
Resumen
Introducción: La antracosis broncopulmonar es la presencia de pigmento negro en bronquios y parénquima pulmonar, que puede causar destrucción, deformidad, generar síntomas y alteraciones en la función pulmonar. El objetivo del estudio es describir los hallazgos clínicos y de gabinete de una serie de pacientes con hallazgos broncoscópicos de antracosis.
Métodos: Estudio descriptivo transversal, realizado de agosto 2022 a julio 2023. A todo paciente adulto con antracosis en broncoscopia, se le recolectaron datos del expediente, de variables sociodemográficas, síntomas, patrón radiológico y espirométrico. La antracosis broncopulmonar fue clasificada como leve, moderada y severa. Se efectuaron estudios microbiológicos y patológicos del aspirado bronquial.
Resultados: Se estudiaron 133 pacientes, 75 (56,4%) fueron mujeres de 51 a 70 años predominantemente, 63 (47,4%) amas de casa expuestas a biomasa. La tos crónica y disnea fueron los síntomas principales, se presentaron en 118 (88,7%) y 114 (85,7%) pacientes, respectivamente. El patrón radiológico reticular se encontró en 63 (47,4%) pacientes y la espirometría reveló como patrones anormales más frecuentes el obstructivo con 18 (28,6%) y sugerente de restricción en 11 (17,4%) pacientes. La tuberculosis se diagnosticó en 36 (27,1%) y neoplasia pulmonar en 3 (2,2%) pacientes.
Conclusión: En este grupo de pacientes con antracosis broncopulmonar, la exposición crónica al humo de biomasa fue el factor causal más probable; se manifestó con síntomas respiratorios crónicos, patrones radiológicos y funcionales respiratorios variables. La tuberculosis fue un hallazgo frecuente, por lo que es necesario investigar el efecto de la antracosis en los mecanismos de defensa local y microbioma pulmonar.
Palabras clave: antracosis, broncoscopia, exposición laboral, Honduras, tuberculosis pulmonar.
Abstract
Introduction: Bronchopulmonary anthracosis is the presence of black pigment in the bronchi and lung parenchyma, which can cause destruction, deformity, symptoms and alterations in lung function. The objective of this study is to describe the clinical and imaging findings of a series of patients with bronchoscopic findings of anthracosis.
Methods: A descriptive cross-sectional study was conducted from August 2022 to July 2023. All adult patients with anthracosis on bronchoscopy had their medical records collected, including sociodemographic variables, symptoms, and radiological and spirometric patterns. Bronchopulmonary anthracosis was classified as mild, moderate, and severe. Microbiological and pathological studies of bronchial aspirates were performed.
Results: A total of 133 patients were studied, 75 (56.4%) of whom were women, predominantly aged 51 to 70 years, and 63 (47.4%) were housewives exposed to biomass smoke. Chronic cough and dyspnea were the main symptoms, occurring in 118 (88.7%) and 114 (85.7%) patients, respectively. A reticular radiological pattern was found in 63 (47.4%) patients, and spirometry revealed the most frequent abnormal patterns: obstructive 18 (28.6%) and suggestive of restriction 11 (17.4%) patients. Tuberculosis was diagnosed in 36 (27.1%) patients and pulmonary neoplasia in 3 (2.2%) patients.
Conclusion: In this group of patients with bronchopulmonary anthracosis, chronic exposure to biomass smoke was the most likely causal factor, manifesting with chronic respiratory symptoms and variable radiological and functional respiratory patterns. Tuberculosis was a common finding, so it is necessary to investigate the effect of anthracosis on local defense mechanisms and the lung microbiome.
Keywords: anthracosis, bronchoscopy, occupational exposure, Honduras, lung tuberculosis.
La antracosis broncopulmonar es la presencia de pigmento negro en los bronquios y parénquima pulmonar, que puede causar destrucción y deformidad (antracofibrosis o antracoestenosis).1-3 La frecuencia de antracosis broncopulmonar simple es del 3,4 al 21% de acuerdo a datos de series de pacientes sometidos a broncoscopía por otras razones.2 Se encuentran datos de las zonas rurales de Asia, especialmente en regiones de Medio Oriente y este de Asia.4 Los datos epidemiológicos sobre la antracosis son limitados en la región de las Américas. En Honduras, Varela et al., en 1994 y 1995, presentaron una serie de casos de 47 pacientes expuestas a humo de leña e informaron daños a nivel bronquial y parenquimatoso cuyos datos principales se encuentran en la Universidad Nacional Autónoma de Honduras, no publicado en revista científica.
Se desconocen las causas principales de la antracosis broncopulmonar, pero existen varias hipótesis (contacto prolongado con las emisiones de combustible de biomasa y las infecciones como la tuberculosis (TB)).4 Alrededor del 40% de la población mundial, especialmente en países en vía de desarrollo, sigue utilizando combustibles sólidos, sea carbón o biomasa (leña, residuos vegetales y estiércol) para cocinar o calentar los hogares. En algunos de estos países más del 70% de la población rural los utiliza como principal fuente de energía.5
La antracosis broncopulmonar es una de las principales causas de obstrucción en los bronquios grandes y puede provocar síntomas respiratorios como tos y disnea.6 Los estudios de función pulmonar han demostrado al patrón obstructivo como patrón predominante en la antracoestenosis, también asociándose en menos medida el patrón sugerente de restricción;7 pero en etapas iniciales de la antracosis, las pruebas de función pulmonar suelen ser normales.6 Por tal razón, la antracosis puede generar enfermedad pulmonar obstructiva crónica (EPOC), una de las causas más importantes de morbilidad y mortalidad a nivel mundial, con una prevalencia global de 10% en adultos.8 En ciertas literaturas, ya se menciona al humo de biomasa como fenotipo del EPOC, el cual podría generar características diferentes al producido por tabaco, lo que genera interés en este tema.5
Radiológicamente, la antracosis genera diferentes hallazgos que varían en la literatura, motivo de confusión y diagnósticos diferenciales amplios. Entre ellos, se mencionan estenosis bronquial, atelectasia, adenopatías calcificadas o no calcificadas, consolidación, infiltración intersticial, masas o anomalías pleurales.6
Por último, en ciertos estudios se ha tratado de correlacionar a la antracosis y el cáncer de pulmón, principalmente adenocarcinoma. 9,10,11
En vista de que la experiencia a nivel regional es importante, pero mayormente no publicada, el presente estudio pretende caracterizar a pacientes diagnosticados con antracosis en un hospital de referencia en Honduras, para contribuir a la comprensión de este problema. Esto ayudará a sumar información acerca de la antracosis, su relación con la tuberculosis, sus diferentes patrones radiológicos y su impacto en la función pulmonar, principalmente en mujeres expuestas a humo de leña.
Metodología
Tipo de estudio: observacional descriptivo transversal.
Universo: pacientes sometidos a broncoscopia por cualquier razón en el Instituto Nacional Cardiopulmonar (INCP), Honduras.
Muestra: pacientes con hallazgo de antracosis en broncoscopia (se incluyeron 133 pacientes en total). No se realizó un cálculo formal del tamaño de la muestra ya que se trató de un estudio descriptivo transversal con muestreo censal.
Período de estudio: agosto 2022 a julio 2023.
Criterios de inclusión: mayores de 18 años con hallazgo de antracosis en broncoscopia flexible realizada por indicaciones variadas.
Criterios de exclusión: pacientes sin antracosis en broncoscopia. Falta de datos principales en los expedientes.
Procedimientos de recolección de la información e instrumentos de recolección: se revisaron expedientes clínicos de los pacientes incluidos para investigar variables sociodemográficas (sexo, edad, ocupación, tabaquismo y exposición a humo de biomasa, procedencia), clínicas (síntomas y signos), radiológicas (patrones reticulares, nodulares, alveolares, masas, etc.).
Las espirometrías se llevaron a cabo en cabina de MedgraphicTM Platinum con técnica y protocolo habitual,12-15 con previa calibración, días después de la broncoscopia en caso de ser ambulatoria o al compensar si el paciente estaba hospitalizado. La ecuación utilizada de referencia fue NHANES III y se interpretó de la siguiente forma: Patrón normal: relación VEF1/FVC: > 0,7 con FVC > 80% del predicho; obstructivo: relación VEF1/FVC: < 0,7 con FVC > 80% del predicho, grado de severidad de obstrucción: leve, VEF1 ≥ 80% del predicho, Moderado: VEF1: 50-79% del predicho y Severo: VEF1 < 50% del predicho. Patrón sugestivo de restricción: VEF1/FVC: > 0,7 con FVC < 80% del predicho y sugerente de patrón mixto: VEF1/FVC: < 0,7 con FVC < 80%.
La exposición al humo de leña se midió según la clasificación horas-año. La detección de antracosis broncopulmonar se clasificó como leve (manchas), moderada (distorsión de la mucosa), severa (distorsión más estenosis)16,17 (Figura 1) en la mayor parte de bronquios explorados. La indicación de biopsia se llevó a cabo de acuerdo con el criterio del operador, al igual que las muestras de lavado bronquial y/o broncoalveolar que se enviaron para estudio microbiológico (baciloscopia, GeneXpert [reacción en cadena de polimerasa (PCR]), cultivo por hongos y bacterias) y citología.
Para el diagnóstico de tuberculosis se utilizaron las guías nacionales de tuberculosis, considerando caso confirmado aquel con GeneXpert o baciloscopia positiva o bien con alguno de los anteriores negativos, pero con clínica, radiología y patología compatible.18 A todo paciente a quien se le efectuó broncoscopia y espirometría, se le solicitó consentimiento informado. Los estudios histopatológicos fueron evaluados por dos patólogos de nuestra institución, mientras que los estudios radiológicos fueron interpretados principalmente por dos radiólogos institucionales, pero también por radiólogos de diferentes instituciones cuando los pacientes eran referidos.
Plan estadístico, análisis de la información recolectada: los datos extraídos de los expedientes clínicos se analizaron a través del programa estadístico Epi Info y google forms.
Manejo estadístico: análisis de parámetros centrales y dispersión de variables continuas y frecuencia de variables discretas. Para explorar asociaciones entre variables, se realizaron análisis bivariados utilizando tablas de contingencia y aplicando la prueba de chi-cuadrado o la prueba exacta de Fisher, según correspondiera.
Manejo ético: el protocolo de investigación fue aprobado por el Comité de Ética del INCP con número de aprobación Nº002 CE-INCP-2023.
Figura 1.
Fotos tomadas de broncoscopias. Imagen A: Mucosa de segmentos bronquiales con manchas antracóticas. Imagen B: Mucosa de segmentos bronquiales con manchas antracóticas y distorsión. Imagen C: Mucosa de segmentos bronquiales con manchas antracóticas, distorsión y estenosis (antracoestenosis).

Resultados
Se presenta el flujograma de la selección de la muestra y procedimientos efectuados (Figura 2). Del total de 596 broncoscopias realizadas en el período de estudio, se incluyeron 133 pacientes con antracosis de diferente grado. Las dos principales indicaciones para realización de broncoscopia fueron la sospecha de tuberculosis en 67 (50,4%) y la sospecha de neoplasia pulmonar en 27 (20,3%) pacientes. En el apartado sociodemográfico, 75 (56,4%) eran mujeres, la mediana de edad de 66 años (IQ 25-75%: 59-74), las ocupaciones más frecuentes fueron ama de casa 63 (47,4%) y agricultor 46 (34,6%). Los pacientes procedían principalmente del departamento de Francisco Morazán con 70 (52,5%).
En cuanto a las exposiciones, 119 (89,5%) pacientes confirmaron exposición prolongada a humo de biomasa. El hábito tabáquico se presentó en 44 (33,1%), siendo de intensidad mayor a 20 paquetes año en 9 (20,0%) pacientes. En relación con el cuadro clínico de presentación, la tos crónica y disnea fueron los más frecuentes con 118 (89,7%) y 114 (85,7%), respectivamente. Otros síntomas de relevancia fueron la fiebre (35,3%), pérdida de peso (33,8%) y hemoptisis (20,3%) (Tabla 1).
Figura 2.
Flujograma

Tabla 1.
Características clínico-epidemiológicas de los pacientes con antracosis broncopulmonar. N = 133
|
CARACTERÍSTICA |
No (%) |
|
SOCIODEMOGRÁFICO |
|
|
EDAD |
|
|
Edad en años, mediana (25-75%) |
66 (59-74) |
|
SEXO |
|
|
Femenino |
75 (56,4) |
|
Masculino |
58 (43,6) |
|
OCUPACIÓN |
|
|
Ama de casa |
63 (47,4) |
|
Agricultor |
46 (34,6) |
|
Otros |
24 (18) |
|
PROCEDENCIA (Departamento) |
|
|
Francisco Morazán |
70 (52,5) |
|
Otros |
63 (47,5) |
|
ESCOLARIDAD |
|
|
Analfabeta |
58 (43,6) |
|
Alfabeta |
75 (56,4) |
|
EXPOSICIÓN |
|
|
Biomasa |
119 (89,5) |
|
Tabaquismo |
44 (33,1) |
|
SIGNOS Y SÍNTOMAS |
|
|
Tos |
118 (88,7) |
|
Disnea |
114 (85,7) |
|
Fiebre |
47 (35,3) |
|
Pérdida de peso |
45 (33,8) |
|
Astenia/adinamia |
25 (18,8) |
|
Hemoptisis |
27 (20,3) |
Otras ocupaciones: comerciante, albañil, cocinero/a.
Respecto a los estudios realizados (Tabla 2), 132 (99,2%) contaban con radiografía de tórax y 66 (49,6%) con tomografía de tórax. El patrón radiológico más frecuente fue el reticular con 63 (47,4%).
Tabla 2.
Hallazgos radiológicos, espirométricos, broncoscópicos, microbiológicos y citológicos de los pacientes con antracosis broncopulmonar. N = 133
|
CARACTERÍSTICA |
No (%) |
|
HALLAZGOS RADIOLÓGICOS |
|
|
Patrón reticular |
63 (47,4) |
|
Patrón alveolar |
18 (13,5) |
|
Nódulos |
29 (29,3) |
|
Masas |
20 (15,0) |
|
Atelectasias |
27 (20,3) |
|
Opacidades mediastinales y/o hiliares |
33 (24,8) |
|
Cavitación |
23 (17,3) |
|
PATRONES ESPIROMETRÍA |
|
|
Normal |
25 (39,7) |
|
Obstructivo |
18 (28,6) |
|
Sugerente de restricción |
11 (17,4) |
|
Sugerente mixto |
9 (14,3) |
|
INDICACIONES DE BRONCOSCOPIA |
|
|
Sospecha de TB |
67 (50,4) |
|
Sospecha de neoplasia pulmonar |
27 (20,3) |
|
Sospecha de neumoconiosis |
12 (9,0) |
|
Otros |
27 (20,3) |
|
HALLAZGOS BRONCOSCOPICOS |
|
|
Manchas antracóticas |
133 (100) |
|
Localización más frecuente |
|
|
Difuso |
71 (53,4) |
|
Lóbulo superior derecho (LSD) |
18 (13,5) |
|
Lóbulo medio (LM) |
16 (12,0) |
|
Distorsión de la mucosa |
80 (60,2) |
|
Localización más frecuente |
|
|
LSD |
9 (11,2) |
|
LM |
9 (11,2) |
|
Difuso |
8 (10,0) |
|
Antracoestenosis |
67 (50,4) |
|
Localización más frecuente |
|
|
LM |
29 (43,3) |
|
LSD |
20 (29,8) |
|
Difuso |
20 (29,8) |
|
ESTUDIOS MICROBIOLÓGICOS |
|
|
GeneXperts |
131 (98,5) |
|
Positivos |
32 (24,4) |
|
Baciloscopias |
131 (98,5) |
|
Positivas |
20 (15,3) |
|
Cultivos por bacterias |
68 (51,1) |
|
Positivos |
5 (7,0) |
|
ESTUDIOS PARA CÁNCER DE PULMÓN |
|
|
Citologías lavado bronquial |
133 (100) |
|
Positivas por malignidad |
1 (0,8) |
|
Inflamación aguda y/o crónica |
75 (56,4) |
|
Biopsias en broncoscopia |
22 (16,5) |
|
Positivas por malignidad |
3 (13,6) |
TB: tuberculosis, LSD: lóbulo superior derecho, LM: lóbulo medio.
Otras indicaciones de broncoscopia: hemoptisis, atelectasias, neumonía de lenta resolución, enfermedad pulmonar intersticial difusa, bronquiectasias.
Respecto al patrón espirométrico, se les realizó el examen a 63 (47,4%) en total, siendo el patrón normal el más frecuente con 25 (39,7%) pacientes, seguido del patrón obstructivo 18 (28,6%) y restrictivo 11 (17,4%). Del patrón obstructivo, 15 (83,3) se encontraban en la forma severa de la antracosis broncopulmonar (antracoestenosis).
En cuanto a los hallazgos macroscópicos de la broncoscopia, las manchas antracóticas se evidenciaron en los 133 pacientes de la muestra; la distribución fue de manera difusa en 71 (53,4%) de ellos. Se encontró distorsión de la mucosa en 81 (60,2%) de los casos y antracoestenosis en 67 (50,4%). Las localizaciones más frecuentes de antracoestenosis fueron el bronquio lobar medial en 29/67 (43,3%) seguido del bronquio lobar superior derecho 20/67 (30,0%). Se enviaron muestras de lavado bronquial a estudios microbiológicos y citopatológicos. En relación con los estudios microbiológicos, se efectuaron baciloscopias (131) y estudios de GeneXpert (131). Se encontraron resultados positivos en 20 (15,3%) y 32 (24,4%) pacientes, respectivamente. De los cultivos bacteriológicos realizados, en total 68 (51,1%), 5 (7,4%) fueron positivos (E. coli con 3 (4%) casos, P. aeruginosa 1 (1,5%) y S. aureus 1 (1,5%)). Respecto a los hallazgos citológicos de lavado bronquial, que se realizó en los 133 pacientes, se informó como negativo por malignidad en ١٣٢ (٩٩,٣٪), e inflamación aguda y/o crónica en el ٧٥ (٥٦,٤٪) de las muestras.
Se diagnosticó con tuberculosis a ٣٦ (٢٧,١٪) pacientes ya sea por GeneXpert y/o baciloscopia positivos en 32 (24,1%) o por biopsia (granulomatosis con necrosis caseosa) y clínica compatible en 4 (3%). No se incluyeron cultivos por micobacterias por falta del examen a nivel nacional. Del total de pacientes, se dio el diagnóstico de neoplasia pulmonar a tres (2,2%), diagnosticados por biopsia, de los cuales dos fueron adenocarcinoma. (Figura 3).
Figura 3.
Diagnóstico de tuberculosis y cáncer de pulmón. N = 133

Discusión
Este estudio se centró en observar las características principales de la antracosis en este grupo de pacientes, dentro de las cuales podemos mencionar el predominio del sexo femenino, la procedencia de áreas rurales, con mediana de edad de 66 años y de oficio ama de casa, que se presentaron principalmente con tos y disnea crónica, con una variedad de hallazgos radiológicos, diferentes grados de afectación broncoscópica, con más de la mitad de los pacientes con algún grado de alteración en las pruebas de función pulmonar; además, se encontró que más de la cuarta parte de los pacientes tenían tuberculosis.
El 89,5% de los pacientes estuvo expuesto a biomasa y el tabaquismo estuvo presente en el 33,1%. Los datos sociodemográficos de nuestro estudio fueron similares a los de la literatura. En una revisión realizada en Irán, la edad media de los pacientes afectados con antracosis fue de 63 ± 3,8 años.19 En un estudio prospectivo de casos y controles en hospitales terciarios de la Universidad de Mashhad en Irán, un total de 189 pacientes fueron sometidos a broncoscopia, la mayoría de los pacientes masculinos eran agricultores (46%) y el 91% de las pacientes eran amas de casa.1
En otro estudio prospectivo de 104 pacientes con antracosis, en el 46,1% de los pacientes se encontró antecedente de tabaquismo y en el 38,3% se observó exposición a polvo mineral o biomasa en su trabajo, 37 (45,7%) eran amas de casa.3
El tabaquismo no parece ser un factor de riesgo de antracosis, lo que se ha demostrado en múltiples estudios descriptivos.2 Los síntomas predominantes en nuestro estudio fueron la tos seguida de disnea. En los descritos en la literatura, el más frecuente es la disnea (90% - 100% de los casos) y en menor proporción, la tos (29,8% - 83,6%). La hemoptisis o dolor torácico inespecífico, los síntomas constitucionales y la producción de esputo, se observan con menos frecuencia.4 La asociación de tuberculosis parece no cambiar los síntomas crónicos respiratorios a excepción de la pérdida de peso de nueva aparición o fiebre.2 En el presente estudio, hubo diferencias significativas con relación a los pacientes con diagnóstico de tuberculosis en cuanto al hallazgo más frecuente de síntomas constitucionales (pérdida de peso, astenia y adinamia), clínica que no suele encontrarse en pacientes con antracosis sin esta infección. (Tabla 3).
Tabla 3.
Síntomas y signos relacionados con el diagnóstico (Dx) de tuberculosis pulmonar en pacientes con antracosis broncopulmonar.
|
Síntoma o signo |
Dx tuberculosis (N=36) |
Sin tuberculosis (N=97) |
Valor de p |
|
Disnea, n (%) |
29 (80,6) |
85 (87,6) |
Valor p: 0,30 |
|
Tos, n (%) |
31 (86,1) |
87 (89,7) |
Valor p: 0,56 |
|
Dolor torácico, n (%) |
5 (13,9) |
11 (11,3) |
Valor p: 0,68 |
|
Fiebre, n (%) |
17 (47,2) |
30 (30,9) |
Valor p: 0,08 |
|
Pérdida de peso, n (%) |
20 (55,6) |
25 (25,8) |
Valor p: 0,001 |
|
Hemoptisis, n (%) |
8 (22,2) |
19 (19,6) |
Valor p: 0,74 |
|
Astenia/adinamia, n (%) |
12 (33,3) |
13 (13,4) |
Valor p: 0,009 |
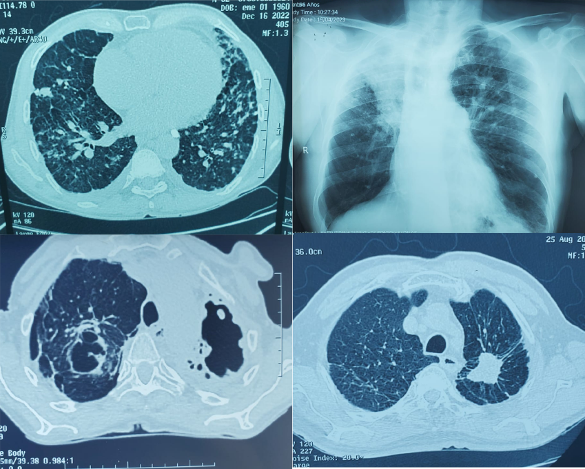
Respecto al apartado radiológico, hubo diversos hallazgos (Figura 4). Ningún estudio radiológico fue normal, probablemente porque la muestra provino de pacientes con indicación de broncoscopia. Sigari N et al. estudiaron 778 casos de antracofibrosis y antracosis, solo el 4% tenía estudios radiológicos normales. Los hallazgos radiológicos incluyeron consolidación focal (50%), patrón reticular difuso (28%), atelectasia segmentaria o lobular (8%), un patrón nodular difuso (5%) y masas (3%).20
Figura 4.
Hallazgos radiológicos secundarios encontrados en los pacientes con antracosis. A: TAC de tórax corte axial ventana pulmonar que muestra múltiples nódulos bilaterales asociados a patrón reticular y engrosamiento pleural posterior derecho. B: Rx PA de tórax que muestra atelectasia del lóbulo superior derecho. C: TAC de tórax corte axial en ventana pulmonar que muestra cavitaciones apicales bilaterales. D: TAC de tórax corte axial en ventana pulmonar que muestra masa espiculada sin bordes definidos en lóbulo superior izquierdo.

En una revisión bibliográfica realizada por Mirsadraee, se informó que la radiografía de tórax fue normal en sólo el 7% de los sujetos. Las anomalías más frecuentes notificadas en la radiografía de tórax fueron el infiltrado pulmonar heterogéneo, atelectasias subsegmentarias 40% y masas 16%.2
En nuestro caso, llama la atención que predomina el patrón reticular y no el alveolar/consolidativo que se presentó en un menor porcentaje. Una de las razones de esto pudo ser la interpretación interlector de nuestro estudio y el menor porcentaje de tomografías en relación con las Rayos X. No parece haber diferencias significativas con relación a los hallazgos radiológicos y el diagnóstico de tuberculosis en pacientes con antracosis, a excepción de las cavitaciones, hallazgo característico de la tuberculosis, pero no diagnóstico de la misma, y no encontrado en pacientes con antracosis sin esta infección. (Tabla 4)
Tabla 4.
Hallazgos radiológicos relacionados con los casos de tuberculosis pulmonar en los pacientes con antracosis broncopulmonar
|
Hallazgo radiológico |
Tuberculosis (N=36) |
No Tuberculosis (N=97) |
Valor de p |
|
Patrón intersticial, n (%) |
16 (44,4) |
47 (48,4) |
0,68 |
|
Nódulos, n (%) |
12 (36,1) |
27 (26,8) |
0,54 |
|
Cavitación, n (%) |
11 (30,6) |
12 (12,4) |
0,01 |
|
Atelectasia, n (%) |
8 (22,2) |
19 (19,6) |
0,74 |
|
Radioopacidades mediastinales, n (%) |
7 (19,4) |
11 (11,3) |
0,23 |
|
Masas, n (%) |
6 (16,7) |
14 (14,4) |
0,75 |
|
Radioopacidades hiliares, n (%) |
4 (11,1) |
11 (11,3) |
0,97 |
|
Infiltrados alveolares, n (%) |
6 (16,7) |
12 (12,4) |
0,52 |
Respecto al patrón espirométrico, se encontraron resultados anormales en el 60,3% de los estudios, de ellos el patrón obstructivo fue el más frecuente. En diferentes estudios, se ha encontrado al patrón obstructivo como el predominante en la antracoestenosis. Por lo general se muestra un patrón obstructivo leve, pero en etapas iniciales de la antracosis, las pruebas de función pulmonar suelen ser normales.6 Un estudio realizado por Chaitanya et al. de 100 mujeres con un mínimo de exposición a humo de biomasa de 5 años, encontraron que la espirometría fue anormal en el 83%. El patrón de espirometría fue de tipo obstructivo en su mayoría (43%), seguido de restricción (32%).21 En otro estudio realizado por Amoli donde se estudiaron 102 pacientes con antracosis, se evidenció el predominio del patrón obstructivo con 60% seguido del patrón restrictivo con 30%.22 El 30,7% de las espirometrías con patrón normal encontradas en nuestra serie puede explicarse por la inclusión de todo tipo de grado de antracosis. En cuanto a los hallazgos broncoscopicos de nuestro estudio, las manchas antracóticas se evidenciaron de manera difusa en un 53,4%, y el lóbulo mayormente afectado fue el lóbulo superior derecho. Se encontró antracofibrosis en el 50,4% y las localizaciones más frecuentes fueron el bronquio lobar medial seguido del bronquio lobar superior derecho, datos similares a la literatura; en el estudio realizado por Sigari et al. donde se estudiaron 778 casos de antracosis y antracoestenosis, el sitio más común de afectación en el proceso de la enfermedad fue el bronquio del lóbulo medio.20 Específicamente en relación con la antracofibrosis, estudios coreanos informaron afectación del lóbulo superior derecho en 302 de 333 pacientes (90,7%), afectación del lóbulo superior izquierdo en 86,8% y afectación del lóbulo medio en 68,8%.6 En la revisión bibliográfica realizada por Majid Mirsadraee que incluyó 17 estudios, se vio que el lugar de afectación más frecuente es el lóbulo medio derecho, seguido de los bronquios del lóbulo superior, con un 79% y 60% de frecuencia acumulada, respectivamente.2
En nuestro estudio, hubo una prevalencia de tuberculosis de un 27,1%. Se han realizado varias investigaciones evaluando la relación entre antracosis broncopulmonar y tuberculosis, sin embargo, en algunos casos los resultados han sido inconsistentes. Esto hace que la relación entre la antracosis broncopulmonar y el riesgo de tuberculosis sea más compleja.23 También se han mencionado enfermedades infecciosas o inflamatorias, principalmente la tuberculosis como posible causa o factor de riesgo para el desarrollo de antracosis broncopulmonar.4,24 En una revisión sistemática de Irán, se incluyeron doce estudios que presentaban suficiente detalle sobre TB en grupos control y antracosis broncopulmonar. El número total de pacientes participantes fue 6.284. La frecuencia acumulada de TB en el grupo de antracosis broncopulmonar fue del 22,5% y del 6,3% en el grupo control.19
En un estudio realizado por Samet et al. en el 2019 donde se evaluaron 100 pacientes con antracosis, 15% tenían tuberculosis.25
Un estudio encontró que la antracosis puede estar asociada con una mayor frecuencia de tuberculosis, posiblemente debido a la destrucción bronquial y la alteración de la inmunidad local que facilita la colonización por Mycobacterium tuberculosis.26 Del total de pacientes de nuestro estudio, se dio el diagnóstico de neoplasia pulmonar al 2%. Estudios anteriores han demostrado una correlación entre la antracosis y las características clínicas del adenocarcinoma pulmonar.9,10
En un estudio realizado por Mirsadraee et al., que evaluó 70 pacientes con diagnóstico broncoscópico de antracosis simple y antracofibrosis, y 40 pacientes sin antracosis; no se encontró ninguna enfermedad maligna en pacientes antracóticos.27
Mirsadraee et al. también realizaron una revisión bibliográfica donde incluyeron 15 artículos que estudiaban antracosis con malignidad y encontraron cáncer de pulmón en el ٠-٧٪ de los sujetos y frecuencia acumulada de ٣,٤٪.2 Aún no se comprende la razón de la variación en la frecuencia del cáncer de pulmón asociado con la antracosis.28 Se ha demostrado que las emisiones procedentes de la combustión de combustibles sólidos presentan altas concentraciones de hidrocarburos aromáticos policíclicos (HAP), benzopireno y material particulado con un diámetro de 2,5 μm o menos, lo que a su vez se ha asociado con altas tasas de cáncer de pulmón.29 Recientemente, las emisiones en interiores procedentes de la combustión doméstica de carbón y biomasa (principalmente madera) se han clasificado como cancerígenas.30 Sin embargo, los datos sobre la magnitud del riesgo de cáncer de pulmón y el subtipo histológico de cáncer de pulmón asociado con el uso de combustibles sólidos son limitados.29
Entre las limitantes de nuestro estudio, en principio fue el tipo (descriptivo transversal), donde no podemos establecer asociaciones claras. Otro aspecto a considerar es el posible sesgo de selección ya que se incluyeron únicamente pacientes con hallazgos broncoscópicos de antracosis. Esto implica que podrían existir casos de antracosis broncopulmonar que no fueron identificados por no haber sido sometidos a broncoscopía. Por lo tanto, los hallazgos de este estudio reflejan el perfil de pacientes con enfermedad suficientemente sospechosa o avanzada como para haber requerido broncoscopía, y no necesariamente representan a toda la población afectada por esta condición. Asimismo, cabe destacar la falta de cultivos para tuberculosis a nivel nacional.
Dentro de las limitaciones socioculturales para la realización de espirometrías, se observó poca comprensión en muchos casos.
Otra limitante fue el software desactualizado del equipo espirométrico con el que contamos en la institución. También, la poca disponibilidad de estudios tomográficos y la no estandarización o unificación de los criterios radiológicos al momento de la interpretación. Tampoco se utilizaron criterios estandarizados en la interpretación de broncoscopias. Sin embargo, las fortalezas de este estudio son la cantidad de pacientes observados y estudiados desde un punto de vista multidimensional, así como el envío sistemático de aspirado bronquial para estudio por TB.
Limitaciones
Cabe mencionar ciertas limitaciones en nuestro estudio como el posible sesgo de selección, la poca disponibilidad a tomografías y no tener una estandarización en la interpretación de los estudios radiológicos y broncoscópicos. La antracosis y sus asociaciones con otras enfermedades es un área en la cual hay espacio para el crecimiento en la investigación, por ejemplo, estudios con diseños metodológicos más robustos donde se podría incluir la medición de biomarcadores u otros estudios de función pulmonar.
Conclusión
Este estudio describe de forma integral las características epidemiológicas, clínicas, radiológicas, microbiológicas y funcionales de pacientes con antracosis broncopulmonar diagnosticados mediante broncoscopia en un hospital de referencia nacional. Los hallazgos más relevantes incluyen el predominio en mujeres expuestas a humo de biomasa, el patrón obstructivo como alteración funcional predominante y una asociación notable con tuberculosis en más de una cuarta parte de los casos. Estos resultados refuerzan la necesidad de considerar la antracosis como una entidad de importancia clínica en entornos con exposición crónica a biomasa.
La antracosis y sus asociaciones con otras enfermedades es un área en la cual hay espacio para el crecimiento en la investigación, por ejemplo, estudios con diseños metodológicos más robustos donde se podría incluir la medición de biomarcadores u otros estudios de función pulmonar. Es necesario, además, emprender campañas para la implementación de políticas públicas para mejorar el acceso a energía limpia, para evitar más casos de antracosis.
Cabe mencionar ciertas limitaciones en nuestro estudio como el posible sesgo de selección, la poca disponibilidad a tomografías y no tener una estandarización en la interpretación de los estudios radiológicos y broncoscópicos.
Financiamiento: los autores declaran que el trabajo no tuvo financiamiento.
Conflictos de interés: los autores declaran que no tienen conflictos de intereses relacionados con el tema de esta publicación.
Contribuciones de los autores: todos los autores contribuyeron en los diferentes apartados del estudio enviado.
El Editor Adjunto, Dr. Rogelio Pérez Padilla, realizó el seguimiento del proceso de revisión y este editor, junto con los Editores en Jefe, Dres. Carlos Luna y Francisco Arancibia, aprobaron este artículo.
Referencias
B.
A.
C.
A.
C.
B.
D.