CASO CLÍNICO | Respirar, 2025; 17(3): 349–355 | ISSN 2953-3414 | https://doi.org/10.55720/respirar.17.3.13
Bélgica Tejada
https://orcid.org/0000-0001-8119-908X
Manuel Álvarez
https://orcid.org/0000-0001-9247-3195
Maria Alejandra Reyes
https://orcid.org/0000-0003-3036-7703
Recibido:
6 enero 2025
Aprobado:
6 junio 2025
Esta revista está bajo una licencia de
Creative Commons Reconocimiento 4.0 Internacional.
Metástasis cutánea como primera manifestación de adenocarcinoma pulmonar: reporte de caso
Cutaneous Metastasis as First Manifestation of Lung Adenocarcinoma: Case Report
Bélgica Tejada1
, Manuel Álvarez2
, María Alejandra Reyes1
1. Complejo Hospitalario Dr. Arnulfo Arias Madrid, Medicina Interna, Panamá City, Panamá.
2. Policlínica Dr. Horacio Díaz Gómez, Servicio de Neumología, Santiago, Panamá.
Autor CORRESPONSAL:
Bélgica Tejada, tejadabelgica@gmail.com
Resumen
Introducción: El adenocarcinoma pulmonar es el subtipo histológico más común de cáncer de pulmón. Es una neoplasia cuyos principales sitios de metástasis son ósea, cerebro, hígado y glándulas suprarrenales. La metástasis cutánea se presenta en 0,7 al 12% y generalmente con un curso clínico más agresivo y de pobre pronóstico a corto y largo plazo.
Presentación del caso: Masculino de 62 años con cuadro clínico de 1 año de evolución caracterizado por aumento progresivo de tamaño de tumoración perlada en fosa nasal derecha de 2x2 cm, sin otra sintomatología asociada, cuya biopsia describe adenocarcinoma metastásico de probable origen pulmonar. Posteriormente, a los 5 meses, inicia con pérdida del 34% del peso corporal total, tos con esputo hemoptóico, disfonía y adenopatías cervicales.
Discusión: La piel es un sitio inusual de metástasis de neoplasia, aunque dentro de las mismas, el pulmón representa un 24% de las metástasis cutáneas en el sexo masculino. Usualmente en estos casos, se asocia a etapas avanzadas de la enfermedad y la apariencia de las lesiones puede imitar lesiones benignas particularmente si es una sola lesión, siendo el nódulo firme indoloro la manifestación más común.
Conclusión: La metástasis cutánea del cáncer de pulmón es un indicador de mal pronóstico, con una sobrevida global estimada de 12-18 meses sin tratamiento. Sin embargo, nuevas terapias dirigidas a mutaciones como la identificación de la deleción del exón 19 de receptor del factor de crecimiento epidérmico (EGFR) y el uso de osimertimib han cambiado el paradigma de supervivencia hasta 38 meses.
Palabras clave: metástasis, adenocarcinoma del pulmón, neoplasias.
Abstract
Introduction: Lung adenocarcinoma is a neoplasm whose main types of dissemination are bone, hilar, brain and adrenal. Cutaneous metastasis occurs in 0.7-12% and generally has a more aggressive clinical course and poor short and long-term prognosis.
Clinical case: A 62-year-old male with a 1-year history of clinical symptoms characterized by a progressive increase in the size of a 2x2 cm pearly tumor in the right nostril, with no other associated symptoms, whose biopsy describes metastatic adenocarcinoma of probable pulmonary origin. After 5 months, he begins to lose 34% of total body weight, cough with hemoptoic sputum, dysphonia and cervical adenopathy.
Discussion: The skin is an unusual site of neoplasia metastasis, although within these the lung represents 24% of cutaneous metastases in the male sex. In these cases, it is usually associated with advanced stages of the disease and the appearance of the lesions can mimic benign lesions, particularly if it is a single lesion, with the most common manifestation being a firm, painless nodule.
Conclusion: Cutaneous metastasis of lung cancer is an indicator of poor prognosis, with an estimated overall survival of 12-18 months without treatment, however, new therapies targeting mutations such as the identification of the deletion of exon 19 of Epidermal Growth Factor Receptor (EGFR) and the use of Osimertimib have changed the survival paradigm up to 38 months.
Keywords: neoplasm metastasis, lung adenocarcinoma, neoplasms.
El adenocarcinoma pulmonar es una neoplasia cuyos principales tipos de diseminación son ósea, hiliar, cerebro y suprarrenal. La metástasis cutánea se presenta en 0,7 al 12% y generalmente tiene un curso clínico más agresivo y de pobre pronóstico a corto y largo plazo.
Caso clínico
Se trata de masculino de 62 años con antecedente de lesión anacarada en ala nasal derecha cuya biopsia hace 1 año resultó en adenocarcinoma metastásico de origen pulmonar (Figuras 1 y 2). En los últimos 5 meses manifiesta síntomas respiratorios de tos seca, esputo hemoptoico, disfonía y adenopatías cervicales, y disminución del 34% de su peso corporal. Tiene historial de ser hipertenso e hipotiroideo, hábito de tabaquismo con índice paquete año (IPA) 2 y exposición de combustión de biomasa.
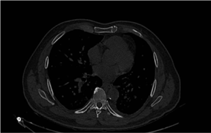
Radiográficamente, se evidenció radioopacidad en lóbulo superior izquierdo que desplaza ipsilateralmente el bronquio principal izquierdo, con criterios de atelectasia lobar superior izquierda (Figura 3). La tomografía resaltó interrupción abrupta del bronquio del lóbulo superior izquierdo asociado a lesión de 3,7 x 3,2 cm que condiciona atelectasia del lóbulo superior izquierdo en relación con proceso neoformativo (Figura 4), nódulos pulmonares de distribución aleatoria, adenopatías cervicales, mediastínicas y retroperitoneales, también lesiones nodulares hepáticas y una lesión que realza con contraste en riñón derecho. Se identificaron adenopatías en los niveles II, III y IV derecho y II, III , IV izquierdo. Adicional lesiones de densidad intermedia en el riñón derecho que realzan en la fase contratada (Figura 5A). Lesiones blásticas con probable relación con depósitos secundarios en T5, T10, T11, L3 Y L5 (Figura 5B). Biopsia de la lesión es positiva para adenocarcinoma pulmonar con patrón histológico tipo acinar. Se identificó deleción del exón 19 de receptor del factor de crecimiento epidérmico (EGFR).
Paciente en seguimiento por oncología médica con osimertinib con tomografía sin datos de progresión a los 6 meses.
Exámenes complementarios
- Laboratorio: Hb 10,5 g/L, Hcto 33,6%, Leu 8.970/mm3, Plq 411.000/mm3,Cr 0,66 mg/dl, VSG 97 mm/h.
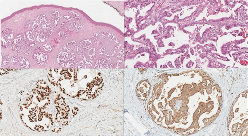
- Anatomía patológica: cortes histológicos correspondientes a biopsia de piel muestran tumor no circunscrito con patrón de crecimiento papilar que ocupa la dermis y el tejido subcutáneo, rodeado de estroma desmoplásico. La epidermis suprayacente no estaba comprometida y los estudios inmunohistoquímicos mostraron positividad para TTF-1 y Napsina A (Figura 6).
Figura 1.
Lesión anacarada en ala nasal derecha.

Figura 2.
Lesión en ala derecha post biopsia

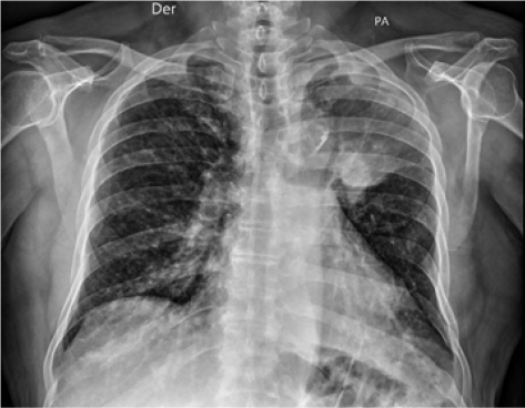
Figura 3.
Radioopacidad heterogénea en ápice pulmón izquierdo.
Fuente: Servicio de Radiología, Complejo Hospitalario Arnulfo Arias Madrid.

Figura 4.
Interrupción abrupta del bronquio del lóbulo superior izquierdo asociado a lesión descrita que condiciona atelectasia del lóbulo superior izquierdo en relación con proceso neoformativo.

Fuente: Servicio de Radiología, Complejo Hospitalario Arnulfo Arias Madrid
Figura 5.
Izquierda. Lesión metastásica de densidad intermedia en el riñón derecho que realza en la fase contratada
Derecha. Lesiones osteolíticas en cuerpo vertebral L2.

Fuente: Servicio de Radiología, Complejo Hospitalario Arnulfo Arias Madrid.
Figura 6.
A. Tumor no circunscrito con patrón de crecimiento papilar que ocupa la dermis y el tejido subcutáneo, rodeado de estroma desmoplásico. La epidermis suprayacente no estaba comprometida. (H&E, 400x).
B. Células epiteliales neoplásicas que rodean los núcleos fibrovasculares (H&E, 400x).
C, D. Los estudios inmunohistoquímicos mostraron positividad para TTF-1 y Napsina A, respectivamente.

Discusión
Definición
El adenocarcinoma pulmonar es el tipo histológico más común de cáncer de pulmón. Específicamente el adenocarcinoma acinar puede presentar vacuolas de mucina citoplasmática y estructuras papilares y su clasificación histológica tiene implicaciones pronósticas, especialmente en relación con la probabilidad de metástasis nodal y la supervivencia general. Además, el adenocarcinoma acinar predominante ha sido asociado con una tasa de mutación del receptor del factor de crecimiento epidérmico (EGFR) significativamente más alta en comparación con otros subtipos, lo que puede influir en las decisiones terapéuticas.1
La incidencia de metástasis cutáneas de cáncer de pulmón varía, pero se considera poco común, con un rango reportado de 0,7% a 12% de todas las malignidades.2
Características
Las lesiones puede ser nódulos dérmicos únicos o múltiples con tamaño variable aproximadamente de 0,5 - 3 cm a consistencia firme, color rojizo o violácea, frecuentemente masas subcutáneas, placas infiltrativas, úlceras cutáneas indoloras con localización en tronco, extremidades superiores, tronco, extremidades superiores y cuero cabelludo.3,4
Fisiopatología
Las metástasis cutáneas de adenocarcinoma pulmonar representan un proceso complejo de diseminación tumoral que involucra mecanismos moleculares de invasión, intravasación y extravasación. Mediante vías hematógenas y linfáticas, las células tumorales pulmonares adquieren capacidades invasivas, alteran moléculas de adhesión y expresan marcadores que les permiten evadir el sistema inmune, sobrevivir en circulación y establecer nuevos focos tumorales en la piel. Este proceso implica la sobreexpresión de factores como VEGF, alteraciones genéticas y la desregulación de rutas metabólicas que facilitan la migración celular, degradación de matriz extracelular y resistencia a la apoptosis, lo que constituye un mecanismo de diseminación tumoral altamente adaptativo y complejo.3,4
Metástasis cutáneas como manifestación inicial
Las metástasis cutáneas pueden ser la primera manifestación de una neoplasia oculta.5 En el caso presentado, la lesión cutánea precedió al diagnóstico del tumor pulmonar, lo que subraya la importancia de considerar metástasis en el diagnóstico diferencial de lesiones cutáneas atípicas. A pesar de encontrarse en bajo porcentaje, es un hallazgo significativo. Por esta razón, cuando se encuentran es fundamental realizar un examen médico completo y detallado.6
Utilidad de TTF-1 y napsina A en el diagnóstico
TTF-1 es un factor de transcripción nuclear expresado en células del epitelio pulmonar y tiroideo, mientras que napsina A es una proteasa expresada en neumocitos tipo II. Ambos marcadores son útiles para identificar adenocarcinomas pulmonares. Estudios han demostrado que la combinación de TTF-1 y napsina A mejora la especificidad y sensibilidad en la identificación de tumores pulmonares.7
Algoritmo diagnóstico para determinar el sitio primario
Ante una lesión cutánea sospechosa de metástasis, se propone el siguiente algoritmo diagnóstico:
– Biopsia cutánea: Evaluación histopatológica e inmunohistoquímica con marcadores como TTF-1, napsina A, CK7, CK20, CDX2, entre otros.8
– Estudios de imagen: Tomografía computarizada de tórax, abdomen y pelvis para identificar posibles tumores primarios.
– Análisis molecular: Detección de mutaciones específicas como EGFR, ALK, KRAS, que pueden orientar el origen y tratamiento.8
– Correlación clínica: Evaluación de síntomas, antecedentes y factores de riesgo del paciente.
Conclusiones
Las metástasis cutáneas de adenocarcinoma pulmonar son un hallazgo poco frecuente, pero su presencia indica un mal pronóstico. Su manifestación puede ser inespecífica, lo que resalta la importancia de una evaluación clínica, estudios histopatológicos, inmunohistoquímicos y moleculares para identificar el sitio primario y orientar el tratamiento adecuado. La identificación de mutaciones como la deleción del exón 19 de EGFR ha permitido el uso de terapias dirigidas como osimertinib y ha mejorado la supervivencia de estos pacientes.
Agradecimientos: agradecemos a la Dra. Valli de la Guardia, patóloga del Instituto Oncológico Nacional, que nos brindó imágenes histopatológicas del caso.
Responsabilidades éticas. Derecho a la privacidad y consentimiento informado: los autores declaran que en este artículo no aparecen datos de pacientes y que el paciente prestó consentimiento para la publicación de su caso.
Financiamiento: los autores declaran que el trabajo no tuvo financiamiento.
Conflictos de interés: los autores declaran que no tienen conflictos de intereses relacionados con el tema de esta publicación.
Contribuciones de los autores: BT: administración del proyecto, investigación, redacción original. MA: escritura, revisión y edición, conceptualización. MAR: investigación, administración del proyecto.
El Editor en Jefe, Dr. Carlos Luna, realizó el seguimiento del proceso de revisión y aprobó este artículo.
Referencias
C.
A.
D.
B.