Dory de León
https://orcid.org/0009-0003-0332-385X
Otto Orozco
https://orcid.org/0009-0007-4250-6236
CASO CLÍNICO | Respirar, 2024; 16(4): 417-420 | ISSN 2953-3414 | https://doi.org/10.55720/respirar.16.4.10
Recibido:
21 abril 2024
Aceptado
12 septiembre 2024
Esta revista está bajo una licencia de
Creative Commons Reconocimiento 4.0 Internacional.
Síndrome de Kartagener
Kartagener's Syndrome
Dory Alejandra de León Gutiérrez
, Otto Rubiere Orozco Fuentes
1. Hospital de Referencia Nacional de Enfermedades Respiratorias, Guatemala, Guatemala.
2. Laboratorio de Patología Médica, Patmed, Guatemala, Guatemala.
Autor CORRESPONSAL:
Dory de León, doryale96@gmail.com
Resumen
El síndrome de Kartagener es una variante de la discinesia ciliar primaria, que consiste en una enfermedad hereditaria autosómica recesiva, poco frecuente, caracterizada por la tríada de bronquiectasias, sinusitis y dextrocardia. En este existen mutaciones en los genes responsables de la síntesis de proteínas ciliares, siendo el deterioro de la motilidad ciliar el principal problema fisiopatológico. Se presenta el caso de una paciente de 14 años de edad quien consulta por tos de tres semanas de evolución sin antecedentes de importancia, a quien como hallazgo incidental se le diagnostica dextrocardia. Por alta sospecha de síndrome de Kartagener, se solicitan estudios complementarios y se realiza broncoscopia que obtiene todos los componentes para un síndrome de Kartagener completo.
Palabras clave: síndrome de Kartagener, discinesia ciliar, dineína, bronquiectasias, dextrocardia.
Abstract
Kartagener syndrome is a variant of primary ciliary dyskinesia, which consists of a rare, autosomal recessive inherited disease, characterized by the triad of bronchiectasis, sinusitis and dextrocardia. In this case, there are mutations in the genes responsible for ciliary protein, with the deterioration of ciliary motility being the main pathophysiological problem. The case of a 14-year-old patient with a three-week history of cough with no significant history is presented. Dextrocardia was diagnosed as an incidental finding. Due to high suspicion of Kartagener syndrome, complementary studies were requested and bronchoscopy was performed, obtaining all the components for a complete Kartagener syndrome.
Keywords: Kartagener syndrome, ciliary dyskinesia, dynein, bronchiectasis, dextrocardia.
Introducción
Los cilios son organelos cuya función principal consiste en el movimiento celular y el transporte de fluidos sobre superficies mucosas. El síndrome de Kartagener es una variante de la discinesia ciliar primaria que consiste en mutaciones genéticas de tipo autosómico recesivo las cuales codifican cadenas de dineína, proteína principal del componente ciliar, lo que conduce a alteraciones patológicas que se pueden dividir en dos grupos: defectos primarios de la estructura ciliar y anormalidades inespecíficas adquiridas.1,3
Las anormalidades en la movilidad y estructura de los cilios que recubren las vías respiratorias superiores conducen a infecciones sino-pulmonares recurrentes y crónicas, siendo estos los síntomas más comunes. Los cilios cumplen una función importante durante la embriogénesis, mientras que el otro componente del síndrome de Kartagener es la dextrocardia o el situs inversus ya que pueden existir defectos de lateralidad izquierda-derecha. El diagnóstico se realiza con presencia de la triada de bronquiectasias, sinusitis y dextrocardia o situs inversus.1,4
Presentación de caso
Paciente femenina, 14 años de edad, originaria de Quetzaltenango, Guatemala, quien consulta por tos de tres semanas de evolución que es productiva, no emetizante ni cianotizante, sin indicar predominio de horario refiriendo que la misma se acompaña de goteo retrofaríngeo y dolor facial. A la exploración física con: presión arterial: 100/60 mmHg; FC: 75 por minuto; SPO2: 95%; el resto de signos vitales entre límites normales. Destaca el dolor a la percusión en región maxilar bilateral, en el examen pulmonar se ausculta tórax con sibilancias infraescapulares bilaterales y estertores crepitantes infraescapulares derechos. El ápex cardíaco se palpa en el quinto espacio intercostal línea medio clavicular derecha, con ruidos cardíacos normales, sin soplos, frote o galope.
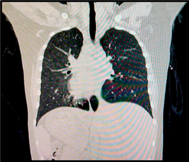
Se solicita radiografía de senos paranasales en la cual se observan niveles hidroaéreos en ambos maxilares sugestivos de senositis maxilar (Figura 1). Así mismo, se solicita tomografía pulmonar en la que se evidencia dextrocardia con imágenes de vidrio despulido y árbol en gemación. Por lo tanto, se realiza broncoscopia en que se observan cuerdas vocales con adecuada movilidad, sin presencia de secreciones. Se realiza toma de biopsia transbronquial y muestras de lavado bronquialveolar para su posterior análisis microbiológico, el cual reporta cultivo negativo. También se realiza gen expert para tuberculosis con resultado negativo. Con estos hallazgos clínicos y radiológicos se diagnostica a la paciente con un síndrome de Kartagener completo.
Figura 1.
(A) Radiografía de senos paranasales en proyección waters en la cual se observan senos maxilares con nivel hidroaéreo y velamiento perimetral. (B) Tomografía torácica ventana pulmonar, corte axial en la que se observa dextrocardia e imágenes en vidrio deslustrado y áreas de árbol en gemación ubicadas en la língula, (C) y (D) cortes coronales con imágenes de bronquiectasias cilíndricas para hiliares bilaterales (página siguiente).

Como parte del tratamiento, se inician antibióticos amoxicilina más ácido clavulánico en dosis de 875 mg cada 12 horas vía oral durante 10 días, y se proporciona educación al paciente sobre su enfermedad. Durante el seguimiento a los 10 días, el paciente refiere mejoría de la sintomatología respiratoria.
Discusión
La discinesia ciliar primaria se encuentra en todos los grupos étnicos, sin predilección racial o de género. La frecuencia informada en la población general varía entre 1 en 10.000 y 20.000 niños nacidos vivos, pero algunos han informado una prevalencia de hasta el 5% en niños con infecciones respiratorias repetidas.1
El avance en la tecnología ha permitido identificar más de 50 genes asociados a este síndrome. Aunque constituye una parte fundamental en la investigación, el estudio genético como parte del diagnóstico no es factible de realizar en muchos países. Sin embargo, se cuenta con los criterios clínicos y radiológicos para identificar y diagnosticar a los pacientes con síndrome de Kartagener.1
Ya que el trastorno en la motilidad ciliar se traduce en infecciones respiratorias altas producto de un aclaramiento mucociliar deficiente, los pacientes pueden cursar con infecciones recurrentes. En el caso presentado, el patrón radiológico de árbol en gemación observado en la tomografía sugería la presencia de un proceso infeccioso. Se descartó como primera posibilidad el diagnóstico de tuberculosis pulmonar con las pruebas de gen expert realizadas en la muestra de lavado bronquioloalveolar. Aunque los cultivos corrientes de las muestras tomadas por broncoscopia fueron negativas, se decide proporcionar tratamiento antibiótico por la clínica de la paciente. Entre los patógenos aislados frecuentemente en pacientes con síndrome de Kartagener incluyen Haemophilus influenzae, Streptococcus pneumoniae, Staphylococcus aureus y Pseudomonas aeruginosa.2,3
Ya que los cilios móviles se encuentran principalmente en el tracto respiratorio superior e inferior, el tracto reproductivo femenino y en los espermatozoides, los pacientes afectados pueden cursar con sintomatología respiratoria asociada a problemas e infertilidad; por lo que es importante informar de dicha condición a los pacientes que lo padecen para que puedan recibir asesoramiento en cuanto a planificación familiar.1
No existe una prueba específica para el diagnóstico del síndrome de Kartagener, se suelen emplear los criterios clínicos con una o más pruebas de laboratorio y estudios imagenológicos como método diagnóstico.2 (Tabla 1).
Como parte del tratamiento del síndrome de Kartagener, la Sociedad Americana del Tórax recomienda proporcionar información a los pacientes sobre su enfermedad y medidas de apoyo, como terapia respiratoria, eliminación de agentes nocivos como tabaquismo y la vacunación contra influenza y neumococo en todos los pacientes.1,4
Tabla 1.
Criterios diagnósticos para el síndrome de Kartagener
|
Clínicos |
Radiológicos |
Laboratorios |
|
Antecedentes de infección bronquial crónica y rinitis desde la primera infancia, combinados. Infertilidad |
Tomografía torácica o radiografía en la cual se evidencien bronquiectasias, dextrocardia en el paciente. Tomografía de senos paranasales con evidencia de senositis. |
Reducción del nivel de óxido nítrico nasal (~10% de lo normal) Tiempo prolongado de depuración de sacarina (>1 hora) Microscopía de video de alta velocidad con frecuencia de latido ciliar reducida (<11 Hz/segundo) y ultraestructura ciliar ausente (brazos de dineína) Espermatozoides vivos, pero inmóviles Estudio genético con genes DNAI1 y DNAH5 mutados |
Los trastornos de la motilidad ciliar pueden ser congénitos o adquiridos. Los trastornos congénitos se denominan PCD. Casi el 50% de los pacientes con PCD tienen situs inversus. Estos casos de PCD con situs inversus se conocen como síndrome de Kartagener. Dicha condición se asocia con la mutación en la región que codifica la cadena pesada de dineína 11 (DNAH11), y es la causa de la anomalía de los microtúbulos que conforman los cilios. Aunque el estudio genético no fue posible con la paciente, se concluye con los hallazgos clínicos e imagenológicos el diagnóstico de síndrome de Kartagener, recalcando que el tratamiento en etapas tempranas mejora el nivel de calidad de vida de los pacientes y disminuye el riesgo de infecciones.1
Financiamiento: los autores declaran que el trabajo no tuvo financiamiento.
Conflictos de interés: los autores declaran que no tienen conflictos de intereses relacionados con el tema de esta publicación.
Contribuciones de los autores: DALG: análisis formal, conceptualización, escritura, revisión y edición. OROF: investigación, metodología y supervisión. Todos los autores formaron parte de la atención, evaluación y seguimiento del paciente.
El Editor en Jefe, Dr. Francisco Arancibia, realizó el seguimiento del proceso de revisión y aprobó este artículo.
Referencias